Pamukkale Üniversitesi Hastanesi’nden Prof. Dr. Göksel Altınışık Ergur, akciğerlerde yağ birikmesiyle ortaya çıkan nadir hastalıkların “akciğer yıkama” yöntemiyle başarıyla tedavi edilebildiğini açıkladı. Ergur, 2007 yılından bu yana 14 hastada bu yöntemin uygulandığını belirterek, “Hastalarımızın sağlıkla aldıkları her nefes, bütün çabalarımıza değer” dedi.
Prof. Dr. Ergur, son olarak Isparta’dan nefes darlığı şikayetiyle gelen bir hastanın tedavi edildiğini söyledi. Dünya genelinde bu tür vakaların “öksüz hastalıklar” olarak tanımlandığını ifade eden Ergur, milyonda bir görülen bir hastalığın bile hasta ve ailesi için büyük önem taşıdığını vurguladı.
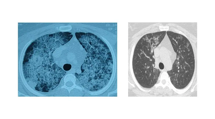
Uzmanlar, bu hastalığın akciğerlerdeki hava keseciklerinde kişinin kendi yağ ve proteinlerinin birikmesi sonucu geliştiğini, belirtiler arasında nefes darlığı, aşırı halsizlik ve yorgunluğun bulunduğunu belirtiyor. Çoğu zaman astımla karıştırılan hastalık, ancak ileri tetkiklerle kesin olarak teşhis edilebiliyor.

Sadece deneyimli merkezlerde uygulanabilen akciğer yıkamasının, ameliyathane koşullarında, hastanın uyutularak her seansta 15-20 litre steril su verilmesi ve geri alınması yöntemiyle yapıldığını anlatan Ergur, şunları kaydetti:
“Bazı hastalar kendiliğinden düzelirken bazen yalnızca tek ya da birkaç yıkama yetebilmekte, nadiren sürekli birikim olması nedeniyle akciğer yıkamalarının tekrarlanması gerekebilmektedir. Bu durumda hastaların yeniden nefeslerine kavuşabilmeleri, deneyimli ekibin bu tedaviyi uygulaması sayesinde olabilmektedir. Yıkama esnasında başta koyu olan, beklediğinde şişenin dibinde çökelti oluşan yıkama sıvısının rengi giderek açılmakta ve bu durumda yıkama işlemi sonlandırılmaktadır.”
